Zahnspange für Kinder
Eine frühzeitige kieferorthopädische Behandlung kann das Wachstum nutzen und spätere Behandlungen vereinfachen. Wir beraten Sie gerne, wann der richtige Zeitpunkt für Ihr Kind ist.
Zahnspange für Kinder
Eine frühzeitige kieferorthopädische Behandlung kann das Wachstum nutzen und spätere Behandlungen vereinfachen – besonders wichtig in der Kieferorthopädie für Kinder in Wien.
Frühbehandlung Zahnspange · Zahnspange für Kinder Wien · Kieferorthopädie Kinder Wien

Zahnspange für Kinder, Frühbehandlung im Milch- und Wechselgebiss
Eine kieferorthopädische oder Zahnregulierung Behandlung im Milchgebiss ist in der Regel nur bei einer Zahnfehlstellung bei Kindern im Alter zwischen 6-10 Jahren notwendig – in dieser Wechselgebiss-Phase ist die Frühbehandlung besonders effektiv.
Zahnspangen für Kinder, die Diagnose und der richtige Zeitpunkt ist sehr wichtig.
- Die richtige Zeitpunkt ist entscheidend: Nur so kann das Gesichtsschädel-Wachstum, der Zahnwechsel und der Zahndurchbruch für die Behandlung optimal genutzt werden.
- Nach der Behandlung, die aktive Phase der Therapie, erfolgt die wichtige Retention-Phase zur Stabilisierung des Behandlungsergebnisses.
- Manchmal ist auch eine Behandlung in zwei Phasen sinnvoll.
Warum Timing in der Kieferorthopädie Kinder Wien so wichtig ist:
- 1Wachstum des Gesichtsschädels kann gezielt genutzt werden, um Kieferlagen früh zu beeinflussen.
- 2Zahnwechsel eröffnet Zeitfenster, in denen Platz geschaffen und Engstände korrigiert werden können.
- 3Zahndurchbruch lässt sich lenken, um spätere, umfangreichere Behandlungen zu vermeiden.
Behandlung in zwei Phasen
Phase 1 – frühe Behandlung
In Phase 1 werden Kiefer- oder Zahnfehlstellungen (z.B. wachstumsabhängige Fehlstellung) oder Anomalien mit herausnehmbaren Geräten im Milchgebiss, im frühen Wechselgebiss, korrigiert. Für die optimale Behandlung der Fehlstellung (Unterkiefer-Rücklage, Rücklage des Oberkiefers) ist Wachstum unerlässlich.
Phase 2 – Behandlung ab dem 12. Lebensjahr
Phase 2: ab dem 12ten Lebensjahr, wenn Kinder Milchzähne verlieren.
- Ungünstige Wachstumseinflüsse können die Fehlstellung natürlich verstärken und sind manchmal Grund dafür, dass kieferorthopädische Prognosen negativ beeinflusst werden.
- Progenie bezeichnet eine Kieferfehlstellung, die durch einen umgekehrten Überbiss der Schneidezähne (frontaler Kreuzbiss) als Leitsymptom charakterisiert ist.
- Skelettale Entwicklungen sind für die zeitliche Planung einer kieferorthopädischen Therapie von großer Bedeutung.
- Bei extremen Dysgnathien (Zusammenfassung von Fehlentwicklungen der Zähne, der Kiefer und/oder des Kausystems) sollte versucht werden, ungünstigen Entwicklungen durch präventive oder frühtherapeutische Maßnahmen entgegenzuwirken.
Ihr Kind benötigt eine Zahnspange? Hier der typische Behandlungsverlauf:
Kostenlose Erstberatung für Zahnfehlstellung in unserer Kieferorthopädie. Termin nur nach Vereinbarung!
Behandlungsunterlagen für individuellen Behandlungsverlauf erstellen. Diagnose mit Röntgen, Fotos und digitalen Scans. Immer ohne Abdrücke.
Planbesprechung und Erklärung. Röntgenauswertung und die Analyse-Besprechung, welche Art von Zahnspange und/oder Brackets für den individuellen Fall notwendig sind.
Behandlungsbeginn. Einsetzen des Gerätes und Aufklärung über Reinigung und die Tragezeiten.
Wichtige und notwendige Kontrolltermine alle 6-8 Wochen.
Behandlungsende. Entfernen der Spange und Besprechung des Behandlungsergebnisses.
Retention – der Beginn der Stabilisierung des Behandlungsergebnisses.
Hier finden Sie den gesamten Ablauf in meiner Kieferorthopädie im Detail erklärt.
Beispiele: Kinder die Kieferorthopädie / Zahnregulierung benötigen:
Platzhalter
Fixed Platzhalter: Wenn Kinder frühzeitig Milchzähne verlieren, muss Platz für die nachkommenden Zähne gehalten werden.
Platzhalter-Spacemaintainer

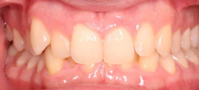
Engstand-Crowding
Primär Engstand: ist hereditär, ein Missverhältnis zwischen Kiefergröße und Zahngröße, entweder die Zähne zu groß oder Kiefer zu klein ist.
Sekundäre Engstand: ist erworben, entsteht durch frühzeitig Milchzahn Verlust.
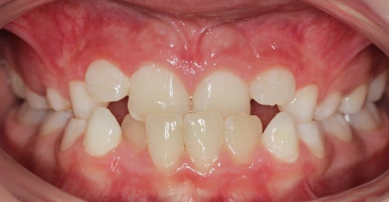
Lateraler Kreuzbiss
Lateraler Kreuzbiss mit Gefahr einer Wachstumshemmung des Oberkiefers
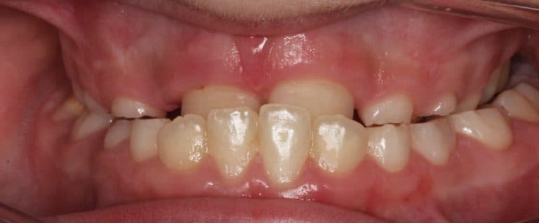
Rücklage Oberkiefer
Rücklage Oberkiefer, KL 3 Wachstum-hemmung im Oberkiefer
Milchgebissprogenie-Frontkreuzbiss
Rücklage Oberkiefer, KL 3 Wachstum-hemmung im Oberkiefer



Braucht Ihr Kind eine Zahnspange?
Wir beraten Sie gerne über den richtigen Zeitpunkt für eine Behandlung und erstellen gemeinsam einen individuellen Behandlungsplan.
Vereinbaren Sie noch heute einen Beratungstermin
Wir freuen uns auf Sie und beraten Sie gerne unverbindlich zu allen Möglichkeiten der Kieferorthopädie und Zahnbehandlung in Wien.