
Kinder & Jugendliche
Anspruch haben Kinder und Jugendliche während und nach dem Zahnwechsel bis zur Vollendung des 18. Lebensjahres – bei entsprechendem Befund.
Kieferorthopädie Wien
Gratis Zahnspange – Metal Brackets. Seit Juli 2015 gibt es neue Regeln für die Gratis-Zahnspange! Als Fachzahnarzt für Kieferorthopädie und qualifizierter Wahl-Kieferorthopäde der ÖGK biete ich auch die Gratiszahnspange an. Das bedeutet: PatientInnen bekommen 100% des Kassentarifs refundiert.

Anspruch haben Kinder und Jugendliche während und nach dem Zahnwechsel und bis zur Vollendung des 18. Lebensjahres.
Das Wichtigste in Kürze
Die Korrektur muss aus medizinischen Gründen erforderlich sein (IOTN 4 oder 5). Vor Behandlungsbeginn ist ein Antrag bei der Krankenkasse einzureichen. Bei positiver Prüfung werden 100% des Kassentarifs der festsitzenden Gratis Zahnspange rückerstattet. Durchführung ausschließlich mit Metall-Brackets; Aufzahlungen für z. B. Keramik-Brackets sind bei der Krankenkasse nicht zulässig.

Merke
Wenn ein Fehlstellung-Schweregrad IOTN 4 oder 5 vorliegt, Eltern ihren Kindern aber alternative Möglichkeiten (ohne Zuschuss von der Krankenkasse) zur Gratis Zahnspange anbieten wollen, dann bieten wir:


Anspruch haben Kinder und Jugendliche während und nach dem Zahnwechsel bis zur Vollendung des 18. Lebensjahres – bei entsprechendem Befund.

Die medizinische Notwendigkeit wird in der Erstberatung und Diagnostik festgelegt; ohne entsprechenden Schweregrad besteht kein Kassenanspruch.

Je nach Befund kann eine Behandlung im Wechselgebiss oder im bleibenden Gebiss sinnvoll sein – wir planen individuell.

Wenn Eltern bewusst eine kassenfremde Lösung wählen (z. B. Keramik oder Aligner), beraten wir transparent zu Kosten und Ablauf.
Die Gratis Zahnspange nach Kassentarif ist an Metall-Brackets gebunden. Für andere Wünsche gibt es private Alternativen.

Die Kassenleistung für die Gratis Zahnspange sieht festsitzende Metall-Brackets vor – das ist die Basis der subventionierten Behandlung.

Ästhetisch dezenter; Aufzahlungen für Keramik sind im Kassenweg der Gratis Zahnspange nicht zulässig – möglich als private Alternative.

Durchsichtige Schienen für ausgewählte Fälle – außerhalb des Kassentarifs der Gratis Zahnspange, nach individueller Planung.

Je nach Diagnose kombinieren wir die für Sie passenden Verfahren – von klassischer festsitzender Therapie bis zu speziellen Apparaturen.
Die abnehmbare Gratis-Zahnspange ist nur dann hilfreich, wenn sie mindestens 12–14 Stunden pro Tag getragen wird. Behandlungsdauer: 1 Jahr.

Zum Beispiel: Habits oder schlechte Gewohnheiten (Zungenpressen, falsche Schluckmuster, Daumenlutschen, Lippenpressen, Fingernägelkauen usw.).
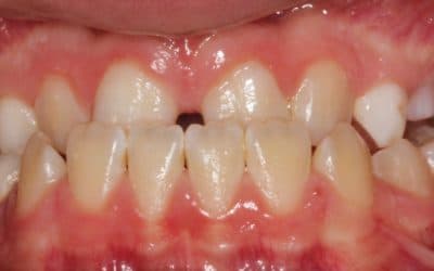
Front offener Biss kann die Kaufunktion und das Sprechen beeinflussen.
Platzmangel durch verschiedene Gründe oder frühzeitiges Verlieren der Milchzähne.
Tiefbiss, Deckbiss und Überbiss können langfristige Probleme verursachen.
Ausgeprägte Frontzahnstufe, Rücklage im Oberkiefer oder Maxilla Klasse 3.
Kreuzbiss im Seitenzahnbereich – einseitig oder beidseitig – kann zu asymmetrischer Belastung, Einschränkungen beim Kauen und langfristig zu Kiefergelenksbeschwerden führen und sollte kieferorthopädisch mitbehandelt werden.
Kreuzbiss der Frontzähne bzw. ein Progener Zwangsbiss: die Frontzähne treffen nicht sauber aufeinander. Eine frühzeitige Diagnose und Therapie kann Funktion und Entwicklung von Ober- und Unterkiefer günstig beeinflussen.
Kreuzbiss: Wikipedia · Progener Zwangsbiss: mehr zur durchsichtigen Zahnspange
Wenn eine Schweregrad-Fehlstellung von IOTN 4 oder IOTN 5 vorliegt, besteht Anspruch auf Rückerstattung. Die „Gratis-Zahnspange“ für Kinder hat eine wichtige Voraussetzung: Es dürfen nur festsitzende Zahnspangen aus Metall verwendet werden.
Tipp: Auch wenn der Schweregrad der Fehlstellung (IOTN) schon feststeht, empfehle ich immer eine Rücksprache mit der Krankenkasse.
Die Behandlungsdauer ist vom Schweregrad abhängig. Die Behandlung mit einer festsitzenden Gratis Zahnspange dauert etwa 18–24 Monate.

Kostenüberblick Gratiszahnspange zwischen 6–18 LJ nur mit IOTN 4/5
Medizinische und kassenrechtliche Details können je nach Tarif variieren. Bitte holen Sie verbindliche Auskünfte bei Ihrer Krankenkasse ein und besprechen Sie den Behandlungsplan mit uns.
So läuft die Gratis Zahnspange begleitet von Antrag, Diagnostik und Kontrollen – den gesamten Ablauf in der Kieferorthopädie finden Sie auch gesondert im Detail.

Zum Beispiel wenn Kinder nicht den Schweregrad IOTN 4 oder 5 haben (Voraussetzung für eine Gratis-Zahnspange), sondern nur IOTN 2 oder 3:

Dr. med. dent. Manish Sablania BDS M.Sc. – Kieferorthopädie-Zahnarzt Wien 1200
Wir beraten Sie gerne persönlich zur passenden Behandlung und zu Ihren Möglichkeiten bei der Gratis Zahnspange.
Öffnungszeiten
Mo–Fr: 10:00 – 17:00 Uhr
Telefon
+43 1 3306090